Nanoligner Feature




Outstanding Precision




From diagnosis to setup, the entire process is

conducted in collaboration with orthodontic

specialist, resulting in superior orthodontic

performance and exceptional precision.

Outstanding Precision


From diagnosis to setup, 

the entire process is

conducted in collaboration

 with orthodontic specialist, 

resulting in superior orthodontic performance 

and exceptional precision.



Real-Time Case Consultation




Orthodontic specialists are available for

real-time consultations regarding treatment

plans or clinical advice for each case.

Real-Time Case

Consultation


Orthodontic specialists are

available for real-time consultations

regarding treatment plans or

clinical advice for each case.



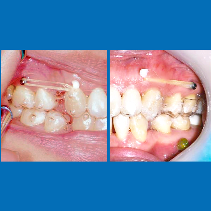
Personalized Appliance Design




The force application point can be customized for each individual, enabling more

stable and efficient tooth movement.

Personalized

Appliance Design


The force application point can be

customized for each individual, 

enabling more stable and efficient

tooth movement.



Customized Sheet 
Selection




Depending on the tooth movement stage or case, five types of sheets are used in combination.

This allows different force levels to be applied at each stage, making the treatment faster and more efficient

Customized 

Sheet Selection


Depending on the tooth movement

stage or case, five types of sheets

are used in combination.

This allows different force levels

to ve applied at each stage,

making the treatment faster

and more efficient





Reasonable Cost Policy




With in-house advanced technology,

we have reduced the burden of laboratory costs.

Reasonable

Cost Policy


With in-house advanced technology,

we have reduced the burden of

laboratory costs.

Corporate name : Nanoligner Corp.

Registrtaion number : 195-81-02227

Address : 27, Teheran-ro 2-gil, Gangnam-gu, Seoul, Republic of Korea

 E-mail :  nano@alphabetter.kr 

Tel : +82 2-365-2809